Imprimir|Regresar a la nota
Sábado, 14 de junio de 2008
logo futuro
la imagen de la semana

La última curda y el espíritu del vino

/fotos/futuro/20080614/notas_f/vino.jpg

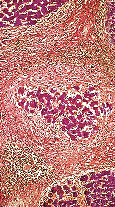
Micrografía de la sección tranversal de un fino tejido del hígado que muestra el estado avanzado de la cirrosis, un estadio en que el hígado responde a la lesión o muerte de algunas de sus células produciendo filamentos que entrelazan (rojo amarronado) los lóbulos activos del hígado (rosado). El hígado es un órgano que metaboliza productos químicos, almacenando algunos y excretando otros. La cirrosis es a menudo una respuesta al daño causado por el consumo excesivo del alcohol.

© 2000-2026 www.pagina12.com.ar|República Argentina|Todos los Derechos Reservados

Sitio desarrollado con software libre GNU/Linux.