futuro

Sábado, 14 de junio de 2008

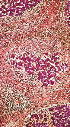
LA IMAGEN DE LA SEMANA

La última curda y el espíritu del vino

Micrografía de la sección tranversal de un fino tejido del hígado que muestra el estado avanzado de la cirrosis, un estadio en que el hígado responde a la lesión o muerte de algunas de sus células produciendo filamentos que entrelazan (rojo amarronado) los lóbulos activos del hígado (rosado). El hígado es un órgano que metaboliza productos químicos, almacenando algunos y excretando otros. La cirrosis es a menudo una respuesta al daño causado por el consumo excesivo del alcohol.

Compartir: 

Twitter

 
FUTURO
 indice

Logo de Página/12

© 2000-2026 www.pagina12.com.ar | República Argentina | Política de privacidad | Todos los Derechos Reservados

Sitio desarrollado con software libre GNU/Linux.