Omitir para ir al contenido principal

Una enfermedad muy subdiagnosticada

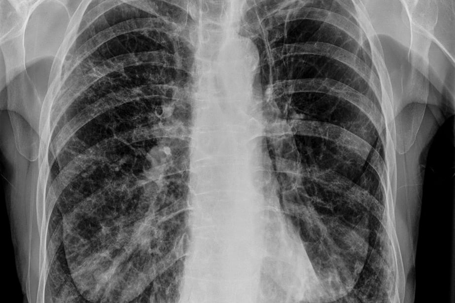
Advierten que 7 de cada 10 personas que tienen EPOC no lo saben

La Enfermedad Pulmonar Obstructiva Crónica (EPOC) tiene un alto nivel de subdiagnóstico y desde la Asociación Argentina de Medicina Respiratoria (AAMR) estiman que el 70% de las personas